Klinika implantologii w Lublinie to miejsce, które specjalizuje się w szerokim zakresie usług związanych z wszczepianiem implantów dentystycznych. W ofercie takich klinik można znaleźć nie tylko standardowe zabiegi implantologiczne, ale także kompleksową diagnostykę, która jest kluczowa dla sukcesu leczenia. W ramach diagnostyki przeprowadzane są szczegółowe badania obrazowe, takie jak tomografia komputerowa, które pozwalają na dokładne zaplanowanie zabiegu oraz ocenę stanu kości pacjenta. Poza tym kliniki często oferują również konsultacje z doświadczonymi specjalistami, którzy mogą odpowiedzieć na wszelkie pytania dotyczące procedury oraz jej przebiegu. Warto również zwrócić uwagę na to, że wiele klinik implantologicznych w Lublinie zapewnia dodatkowe usługi, takie jak protetyka czy ortodoncja, co pozwala na kompleksowe podejście do zdrowia jamy ustnej pacjenta.
Jak wygląda proces leczenia w klinice implantologii Lublin
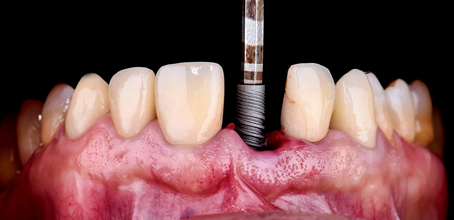
Proces leczenia w klinice implantologii w Lublinie zazwyczaj rozpoczyna się od szczegółowej konsultacji z lekarzem specjalistą. Podczas pierwszej wizyty lekarz przeprowadza wywiad medyczny oraz wykonuje badania diagnostyczne, które mają na celu ocenę stanu zdrowia pacjenta oraz warunków anatomicznych w jamie ustnej. Na podstawie zebranych informacji lekarz przedstawia plan leczenia oraz omawia wszystkie dostępne opcje. Kolejnym krokiem jest przygotowanie do zabiegu, które może obejmować dodatkowe procedury, takie jak ekstrakcja zębów czy regeneracja kości. Sam zabieg wszczepienia implantu odbywa się w znieczuleniu miejscowym i jest stosunkowo szybki oraz mało inwazyjny. Po zakończeniu procedury pacjent otrzymuje szczegółowe instrukcje dotyczące pielęgnacji miejsca wszczepienia oraz zalecenia dotyczące diety. W kolejnych tygodniach następuje proces osteointegracji, czyli zrośnięcia implantu z kością, co jest kluczowe dla trwałości całej konstrukcji.
Czy warto zdecydować się na implanty w Lublinie

Decyzja o wszczepieniu implantów dentystycznych w Lublinie to krok, który warto rozważyć z wielu powodów. Przede wszystkim implanty są uznawane za jedną z najskuteczniejszych metod uzupełniania braków zębowych, a ich trwałość i funkcjonalność są znacznie wyższe niż tradycyjnych protez. Dzięki nowoczesnym technologiom i materiałom wykorzystywanym w implantologii pacjenci mogą cieszyć się naturalnym wyglądem oraz komfortem użytkowania. Dodatkowo kliniki w Lublinie często dysponują nowoczesnym sprzętem oraz wysoko wykwalifikowanym personelem, co zwiększa szanse na powodzenie zabiegu. Warto również zwrócić uwagę na aspekty estetyczne – implanty pozwalają na przywrócenie pełnej funkcji żucia oraz poprawiają wygląd uśmiechu, co ma istotne znaczenie dla pewności siebie pacjentów. Oprócz tego wiele klinik oferuje atrakcyjne programy finansowania lub możliwość rozłożenia płatności na raty, co czyni tę formę leczenia bardziej dostępną dla szerszego grona osób.
Jak znaleźć najlepszą klinikę implantologiczną w Lublinie
Wybór najlepszej kliniki implantologicznej w Lublinie może być kluczowy dla sukcesu całego procesu leczenia. Aby dokonać właściwego wyboru, warto zacząć od zebrania informacji o dostępnych placówkach i ich ofercie. Można to zrobić poprzez przeszukiwanie internetu, gdzie wiele klinik posiada swoje strony internetowe zawierające szczegółowe opisy usług oraz cenniki. Ważnym elementem są również opinie pacjentów zamieszczane na forach internetowych czy portalach społecznościowych – ich doświadczenia mogą dostarczyć cennych wskazówek dotyczących jakości usług oraz atmosfery panującej w danej klinice. Kolejnym krokiem może być umówienie się na konsultację do kilku różnych placówek, aby osobiście ocenić standardy obsługi oraz kompetencje personelu medycznego. Warto również zwrócić uwagę na wyposażenie kliniki oraz stosowane technologie – nowoczesny sprzęt i innowacyjne metody leczenia mogą znacząco wpłynąć na efektywność przeprowadzanych zabiegów.
Jakie są koszty implantów w klinice implantologii Lublin
Koszty związane z wszczepieniem implantów dentystycznych w klinice implantologii w Lublinie mogą się znacznie różnić w zależności od wielu czynników. Przede wszystkim cena uzależniona jest od rodzaju implantu, który jest stosowany, a także od skomplikowania zabiegu oraz dodatkowych procedur, które mogą być konieczne przed wszczepieniem. Warto zaznaczyć, że na ogół ceny implantów obejmują nie tylko sam implant, ale również koszt konsultacji, diagnostyki oraz ewentualnych zabiegów przygotowawczych. W Lublinie ceny za jeden implant mogą zaczynać się od około kilku tysięcy złotych, a w przypadku bardziej skomplikowanych przypadków mogą wynosić nawet kilka razy więcej. Dodatkowo warto zwrócić uwagę na to, że wiele klinik oferuje różne formy finansowania, takie jak płatności ratalne czy możliwość skorzystania z kredytu na leczenie. Dzięki temu pacjenci mają szansę na zrealizowanie swojego planu leczenia bez obciążania domowego budżetu.
Jakie są zalety i wady implantów dentystycznych
Implanty dentystyczne to rozwiązanie, które ma wiele zalet, ale jak każda metoda leczenia, wiąże się również z pewnymi wadami. Do głównych zalet należy ich trwałość – przy odpowiedniej pielęgnacji i regularnych wizytach kontrolnych mogą służyć przez wiele lat, a nawet całe życie. Implanty wyglądają bardzo naturalnie i są funkcjonalne, co pozwala pacjentom na komfortowe jedzenie oraz mówienie. Dodatkowo nie wpływają negatywnie na sąsiednie zęby, co jest istotne w porównaniu do tradycyjnych mostów czy protez. Z drugiej strony, jednym z głównych minusów jest koszt – wszczepienie implantów może być dość drogie, co dla niektórych pacjentów stanowi istotną barierę. Ponadto proces leczenia wymaga czasu; od momentu wszczepienia implantu do momentu zakończenia leczenia protetycznego może minąć kilka miesięcy. Istnieje również ryzyko powikłań pooperacyjnych, takich jak infekcje czy problemy z integracją implantu z kością.
Jak dbać o implanty dentystyczne po zabiegu
Prawidłowa pielęgnacja implantów dentystycznych po zabiegu jest kluczowa dla ich trwałości oraz zdrowia jamy ustnej. Po pierwsze, niezwykle ważne jest przestrzeganie zaleceń lekarza dotyczących higieny jamy ustnej oraz diety. Bezpośrednio po zabiegu zaleca się unikanie twardych pokarmów oraz tych, które mogą podrażnić miejsce wszczepienia. Warto również stosować miękką szczoteczkę do zębów oraz unikać miejscowego podrażnienia dziąseł. Regularne mycie zębów i nitkowanie są niezbędne do utrzymania czystości wokół implantu, co zapobiega powstawaniu stanów zapalnych. Należy także pamiętać o regularnych wizytach kontrolnych u stomatologa, który będzie monitorował stan implantu oraz otaczających go tkanek. W przypadku wystąpienia jakichkolwiek niepokojących objawów, takich jak ból czy obrzęk, należy niezwłocznie zgłosić się do specjalisty.
Jakie nowoczesne technologie stosuje klinika implantologii Lublin
Nowoczesne technologie stosowane w klinikach implantologicznych w Lublinie znacząco poprawiają jakość i bezpieczeństwo przeprowadzanych zabiegów. Jednym z najważniejszych osiągnięć w tej dziedzinie jest wykorzystanie tomografii komputerowej do precyzyjnego planowania zabiegów. Dzięki temu lekarze mogą dokładnie ocenić warunki anatomiczne pacjenta oraz zaplanować optymalne umiejscowienie implantu. Kolejną innowacją są systemy CAD/CAM, które umożliwiają tworzenie indywidualnych elementów protetycznych na podstawie cyfrowych modeli 3D jamy ustnej pacjenta. To pozwala na szybsze i bardziej precyzyjne wykonanie koron czy mostów protetycznych. Wiele klinik korzysta także z technologii laserowej do przeprowadzania zabiegów chirurgicznych, co minimalizuje ból oraz czas gojenia. Dodatkowo zastosowanie biomateriałów wspomagających regenerację kości staje się coraz bardziej popularne i pozwala na skuteczne przygotowanie miejsca do wszczepienia implantu w przypadku niedoboru tkanki kostnej.
Jakie są opinie pacjentów o klinikach implantologicznych w Lublinie
Opinie pacjentów o klinikach implantologicznych w Lublinie mogą dostarczyć cennych informacji na temat jakości usług oraz poziomu obsługi medycznej. Wiele osób dzieli się swoimi doświadczeniami na forach internetowych czy portalach społecznościowych, co pozwala przyszłym pacjentom na dokonanie świadomego wyboru placówki. Często pacjenci chwalą sobie profesjonalizm lekarzy oraz miłą atmosferę panującą w klinikach. Ważnym aspektem jest również czas oczekiwania na zabieg oraz dostępność terminów – wiele osób zwraca uwagę na to, jak szybko można umówić się na konsultację czy sam zabieg. Opinie dotyczą także kosztów usług – niektórzy pacjenci wskazują na atrakcyjne oferty finansowe lub możliwość rozłożenia płatności na raty jako istotny atut danej kliniki. Z drugiej strony pojawiają się również negatywne opinie dotyczące długiego czasu oczekiwania na wizyty kontrolne czy braku odpowiedniej komunikacji ze strony personelu medycznego.
Jak wygląda rehabilitacja po wszczepieniu implantu dentystycznego
Rehabilitacja po wszczepieniu implantu dentystycznego jest kluczowym etapem procesu leczenia i ma ogromny wpływ na jego sukces. Po zabiegu pacjent powinien przestrzegać zaleceń lekarza dotyczących diety oraz higieny jamy ustnej przez określony czas. W pierwszych dniach po operacji zaleca się spożywanie miękkich pokarmów oraz unikanie gorących napojów i alkoholu, aby nie podrażnić miejsca wszczepienia. Ważne jest także regularne mycie zębów przy użyciu delikatnej szczoteczki oraz unikanie miejscowego podrażnienia dziąseł wokół implantu. W ciągu kilku tygodni następuje proces osteointegracji, czyli zrośnięcia implantu z kością, który wymaga cierpliwości ze strony pacjenta – pełna integracja może trwać od kilku tygodni do kilku miesięcy w zależności od indywidualnych warunków anatomicznych i zdrowotnych pacjenta. Regularne wizyty kontrolne u stomatologa pozwalają monitorować postęp gojenia oraz ewentualnie dostosować plan rehabilitacji do potrzeb pacjenta.








